jueves, 22 de septiembre de 2022
DTP / 389 Bótox para solucionar el bruxismo: un tratamiento que vale “un dos por uno”
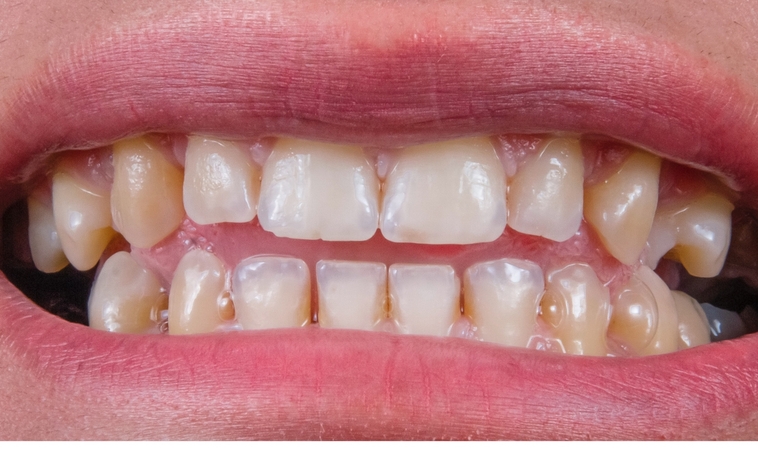
Si te levantas de la cama por las mañanas con dolor en la mandíbula y en la zona del oído, incluso con cefalea tensional, es muy probable que sufras una alteración dañina en la articulación temporomandibular, especialmente en el músculo masetero; patología que suele derivar en bruxismo o rechinar de dientes y que tiene una solución en el tratamiento con bótox
Lo confirman tanto el doctor Eduardo López Bran, director médico de la Clínica IMEMA, como la doctora Manuela Gómez Pérez, especialista y responsable de la Unidad de Estética Avanzada y Antiaging de la misma entidad, para quienes no nos hace más valientes aguantar el dolor mandibular y soportar el bruxismo, que conlleva, además, un desgaste pronunciado de las piezas dentarias.
“Siempre que el paciente esté bajo el control de médic@s expert@s, en coordinación con los profesionales de la odontología y la cirugía maxilofacial, esta toxina botulínica, eficaz y segura, consigue relajar la musculatura mandibular de tal manera que desaparecerán el dolor y las molestias a las pocas semanas de su aplicación clínica”, destacan.
El dolor temporomandibular (ATM) es una afección muy común que incide casi por igual en mujeres y hombres de todo el mundo. En España afecta insistentemente, al menos, a un 15% de la población.
Como a Marta… una joven madrileña de 29 años de edad que padece esta dolencia desde su etapa universitaria. Estudiar fue el detonante.
Marta está cansada de despertarse con el rostro angustiado por el dolor y desea abrir sus ojos cada mañana para ver el mundo como un regalo de la vida y no como el final “dèjá vu” de su pesadilla bucofacial.
Para Marta, solucionar este problema sería un motivo “más que suficiente” con el que sonreír delante del espejo antes de iniciar su rutinaria jornada laboral.
“Es una situación bastante común, sobre todo durante la pandemia coronavírica actual, puesto que la gente sufre mucha ansiedad y miedo; estresantes que salen a rechinar cuando dormimos… aflora toda la tensión que hemos guardado en el subconsciente y apretamos las mandíbulas al hacer patentes nuestras preocupaciones”, explica la doctora Manuela Gómez.
• Hablamos de bruxismo primario cuando no existe una causa definida ni obedece a otros problemas médicos. Suele estar relacionado con la tensión y el estrés.
• Hablamos de bruxismo secundario cuando se puede diagnosticar un origen concreto o está asociado a otras enfermedades, principalmente neurológicas (epilepsia, enfermedad de Parkinson, etc.).
Este rechinamiento involuntario, inducido, puede provocar un dolor en los músculos del oído, en el cuello, y en la mandíbula; y no es extraño que ocasione cefalea tensional. Además, ocasiona desgaste dentario y sangrado en las encías.
También, al aumentar y endurecer los músculos maseteros, el bruxismo puede llegar a modificar la fisionomía facial, generando el aspecto de una cara cuadrada desde el punto de vista estético.
Estos problemas se pueden remediar con bótox después de una exploración minuciosa de los músculos maseteros, analizando los puntos de máxima tensión en la zona facial. El resultado clínico de Marta indica una sobrecarga de la articulación temporomandibular.
“Al relajar el masetero, la articulación temporomandibular queda libre de tensiones; y así, con bótox, aunque la paciente siga sufriendo ansiedad por las noches o continúe preocupada o temerosa por el día, se consigue la relajación del músculo, sin esfuerzo alguno”, continúa.
“Además, el bótox no genera efectos secundarios en el organismo. Estamos hablando de una neurotoxina que tiene diversos cometidos médicos y estéticos desde hace mucho tiempo, como su uso en casos de parálisis musculares en bebés lactantes y niñ@s”, subraya.
El resultado de la intervención se observa a los diez días o dos semanas una vez iniciado el tratamiento. La articulación de la zona temporomandibular se encontrará mucho más relajada y el paciente notará que se levanta por las mañanas con una menor sobrecarga.
“No solo l@s pacientes dejan de referir dolor en la zona temporomandibular o en la zona del oído, sino que, a la vez, cuando comen, por ejemplo, carnes de caza, colines de pan o zanahorias crudas, ya no les duele o se les bloquea la mandíbula”, afirma la doctora Gómez.
Con este tratamiento se obtiene un bienestar mandibular de entre seis y doce meses, y cada tanto se deben implementar otra sesión de bótox.
“Si el paciente no consiguiera una mejoría clara de su dolencia se le derivaría a la consulta de una cirujana maxilofacial para que valorara la funcionalidad de la articulación temporomandibular”, informa.
Fuente y artículo completo: Agencia EFE https://efesalud.com/crece-optimismo-jovenes-pandemia-estudio/
miércoles, 21 de septiembre de 2022
DTP/ 388 Un gel trata la enfermedad de las encías al combatir la inflamación
La periodontitis no controlada puede provocar dolor y sangrado de las encías, dificultad para masticar y pérdida de dientes
Un gel tópico que bloquea el receptor de un subproducto metabólico llamado succinato trata la enfermedad de las encías suprimiendo la inflamación y cambiando la composición de las bacterias en la boca, según un nuevo estudio dirigido por investigadores de la Facultad de Odontología de la NYU y publicado en «Cell Reports».
La investigación, realizada en ratones con células humanas y muestras de placa, sienta las bases para un tratamiento no invasivo de las enfermedades de las encías que las personas podrían aplicarse en casa para prevenirlas o tratarlas.
La enfermedad de las encías también conocida como enfermedad periodontal es una de las enfermedades inflamatorias más frecuentes, que afecta a casi la mitad de los adultos de 30 años o más.
Se caracteriza por tres componentes: la inflamación, un desequilibrio de bacterias sanas y no sanas en la boca, y la destrucción de los huesos y las estructuras que sostienen los dientes.
«Ningún tratamiento actual para la enfermedad de las encías reduce simultáneamente la inflamación, limita la alteración del microbioma oral y previene la pérdida de hueso. Hay una necesidad urgente de salud pública de tratamientos más específicos y eficaces para esta enfermedad común», explica Yuqi Guo, co-primer autor del estudio.
Investigaciones anteriores han relacionado el aumento del succinato -una molécula producida durante el metabolismo- con la enfermedad de las encías, y los niveles más altos de succinato se asocian a niveles más altos de inflamación. Guo y sus colegas de NYU Dentistry también descubrieron en 2017 que los niveles elevados de succinato activan el receptor de succinato y estimulan la pérdida de hueso. Estos hallazgos convirtieron al receptor de succinato en un objetivo atractivo para contrarrestar la inflamación y la pérdida ósea, y potencialmente detener la enfermedad de las encías en su camino.
Los investigadores empezaron por examinar muestras de placa dental de humanos y muestras de sangre de ratones. Mediante análisis metabolómicos, comprobaron que los niveles de succinato eran más elevados en las personas y los ratones con enfermedades de las encías que en los que tenían encías sanas, lo que confirmaba lo descubierto en estudios anteriores.
También vieron que el receptor de succinato se expresaba en las encías de humanos y ratones. Para comprobar la relación entre el receptor de succinato y los componentes de la enfermedad de las encías, alteraron genéticamente a ratones para inactivar, o «eliminar», el receptor de succinato.
En los ratones «knockout» con enfermedad de las encías, los investigadores midieron niveles más bajos de inflamación tanto en el tejido gingival como en la sangre, así como una menor pérdida de hueso. También encontraron bacterias diferentes en sus bocas: los ratones con enfermedad de las encías tenían un mayor desequilibrio de bacterias que los ratones «knockout».
Esto se mantuvo cuando los investigadores administraron succinato adicional a ambos tipos de ratones, lo que empeoró la enfermedad de las encías en los ratones normales; sin embargo, los ratones «knockout» estaban protegidos contra la inflamación, el aumento de bacterias no saludables y la pérdida de hueso.
«Los ratones sin receptores de succinato activos eran más resistentes a la enfermedad», afirma Fangxi Xu, coprimer autor del estudio. «Aunque ya sabíamos que había alguna conexión entre el succinato y la enfermedad de las encías, ahora tenemos pruebas más sólidas de que el succinato elevado y el receptor de succinato son los principales impulsores de la enfermedad».
El gel redujo la inflamación local y sistémica y la pérdida de hueso en cuestión de días
Para ver si el bloqueo del receptor de succinato podía mejorar la enfermedad de las encías, los investigadores desarrollaron una formulación en gel de un pequeño compuesto que se dirige al receptor de succinato y evita que se active. En estudios de laboratorio con células de encías humanas, el compuesto redujo la inflamación y los procesos que conducen a la pérdida de hueso.
A continuación, el compuesto se aplicó como gel tópico a las encías de ratones con enfermedades de las encías, lo que redujo la inflamación local y sistémica y la pérdida de hueso en cuestión de días. En una de las pruebas, los investigadores aplicaron el gel a las encías de los ratones con enfermedad gingival en días alternos durante cuatro semanas, lo que redujo su pérdida ósea a la mitad en comparación con los ratones que no recibieron el gel.
Los ratones tratados con el gel también experimentaron cambios significativos en la comunidad de bacterias de sus bocas. En concreto, las bacterias de la familia Bacteroidetes -que incluyen patógenos que se sabe que son dominantes en la enfermedad de las encías- se redujeron en los tratados con el gel.
Fuente: ABC https://www.abc.es/salud/enfermedades/trata-enfermedad-encias-combatir-inflamacion-20220920132406-nt.html
Suscribirse a:
Comentarios (Atom)

